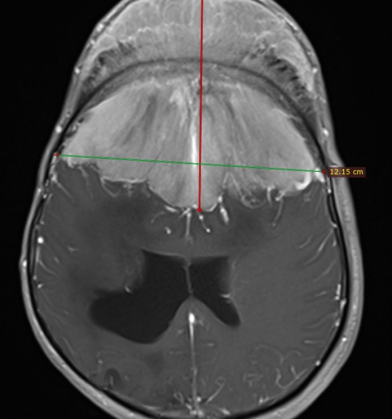
Уникална операция за отстраняване на огромен тумор с тегло над 1 кг от мозъка на мъж бе направена в МБАЛ "Св. Иван Рилски" преди дни. Екипът, извършил операцията, която е първата по рода си в Европа, разказа за случая.
"Недопустимо е в 21 век да се допуска мъж да бъде оставен с такъв тумор", въведе в историята неврохирургът д-р Емануил Найденов.
По думите му вината е на лекарите, които са консултирали мъжа преди това и в профилактиката, тъй като туморът е личал по "челото на мъжа".
Осем часа е продължила тежката операция на 41-годишния Божидар на 4 ноември. Мъжът години наред е страдал от главоболие, зрението му намалявало, а главата видимо се деформирала.
От разказа на мъжа се разбира, че той е ходил по лекари заради това, че не вижда, питал лекарите защо не вижда и защо челото му се променя. Имало и очен лекар, който му казал - "ще си го изпилиш и ще се оправи". После Божидар ходил на друг лекар, предприел и лечение, но зрението все повече намалявало. Пациентът решил да отиде на скенер в болница "Св. Иван Рилски" и там се видяло, че има огромен тумор.
Диагнозата първо не е поставена години, а когато е поставена, вече е било късно и всички лекари в България и чужбина отказвали оперативна намеса.
Единствено лекарите от "Иван Рилски" се съгласили, въпреки риска изходът за пациента да е фатален.
След свикване на екип за операцията и обсъждане на случая, след проучване, че има само няколко такива случая в света, е решено мъжът да бъде опериран с нов подход. Първо се запушват хранещите съдове на тумора, а след ден се пристъпва към операцията и отстраняване на лезията.
Пациентът е загубил два литра кръв и на няколко пъти е бил между живота и смъртта, но е овладян от анестезиологичния екип.
Мъжът сега се възстановява, а показателите му са все по-добри. Очаква се до седмица-две пациентът да бъде изписан и да премине на рехабилитация. Не се знае какъв ще е изходът след операцията, тъй като в света такъв случай няма. Божидар ще бъда наблюдаван поне една година.
Екипът, извършил уникалната за България операция, се състои от най-добрите специалисти в болницата - неврохирург Емануил Найденов, неврорентгенелог доц. Станимир Сираков, неврерентгенелогът Марин Пенков и анестезиологът д-р Любомир Падарски.

Източник: МБАЛ "Св. Иван Рилски"
el viejo
на 15.11.2019 в 14:51:00 #1Забелязал съм, че лекаря при който отиваш те пита, от какво боледуваш? Ако си знаеш някаква диагноза, може и да се заинтересува от тебе! Най-често, ако не си се диагностицирал сам, те пуска у леву, по-живо, по-здраво! Подготвяйте се добре преди да ходите на лекар!